Koleno
Strokovno o operacijah, rehabilitaciji in zdravljenju poškodb in bolezni kolena. Artroskopija, endoproteza, rekonstrukcija križnih vezi in več.

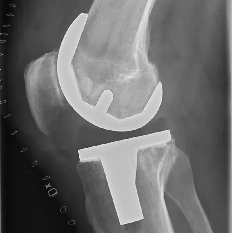
Endoproteza kolena
Endoproteza kolena je umetni sklep, s katerim kirurg med operacijo nadomesti prizadete dele kolena.
Preberi vec →
Vaje po endoprotezi kolena
Program vaj po endoprotezi kolena za hitrejso rehabilitacijo in boljse rezultate.
Preberi vec →
Minimalno invazivna operacija kolena
Minimalno invazivna operacija kolena omogoca manjsi rez, manj bolecin in hitrejse okrevanje.
Preberi vec →
Rehabilitacija po artroskopiji
Rehabilitacija po artroskopiji kolena - vaje, casovnica okrevanja in navodila za paciente.
Preberi vec →
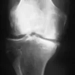
Artroza kolena
Artroza kolena je najpogostejsa oblika artroze. Spoznajte vzroke, simptome in moznosti zdravljenja.
Preberi vec →
Rehabilitacija po operaciji krizne vezi
Program rehabilitacije po operaciji sprednje krizne vezi kolena - od operacije do vrnitve v sport.
Preberi vec →
Artroskopija kolena
Artroskopija kolena je minimalno invaziven diagnosticni in terapevtski poseg na kolenskem sklepu.
Preberi vec →
Rekonstrukcija krizne vezi
Rekonstrukcija sprednje krizne vezi (ACL) - kdaj je potrebna, kako poteka in kaj pricakovati.
Preberi vec →
Poskodbe meniskusa
Poskodbe meniskusa - vzroki, simptomi, diagnostika in moznosti zdravljenja raztrganin meniskusa.
Preberi vec →
Nestabilnost pogacice
Nestabilnost pogacice (patele) - vzroki, simptomi in moznosti zdravljenja izpaha pogacice.
Preberi vec →
Navodila po endoprotezi kolena
Pomembna navodila za paciente po vstavitvi endoproteze kolena za varno in hitro okrevanje.
Preberi vec →
Deformacija palca
Hallux valgus - deformacija palca na nogi. Vzroki, simptomi in moznosti zdravljenja.
Preberi vec →
Vaje pri artrozi kolena
Program vaj za paciente z artrozo kolena - krepitev misic in ohranjanje gibljivosti.
Preberi vec →
Vaje po poskodbi kolena
Program vaj za rehabilitacijo po poskodbi kolena - od akutne faze do vrnitve v aktivnost.
Preberi vec →